江苏一疫情通报(江苏疫情通报最新消息)

在全球疫情持续演变的背景下,中国各地以科学、精准的防控措施应对挑战,江苏省作为经济大省和人口密集地区,其疫情通报工作不仅反映了地方公共卫生体系的成熟度,也为其他地区提供了宝贵经验,江苏省卫生健康委员会...

江苏疫情 疫情通报

确诊人数不断攀升!江苏一地全力应对:江苏确诊病例人数

随着新冠病毒奥密克戎变异株的快速传播,国内多地疫情呈现多点散发、局部聚集的态势,在江苏省内,某市的确诊人数图表划出了一条令人揪心的上行曲线,“确诊人数不断攀升”成为了悬在每位市民心头的一块巨石,也成为...

江苏疫情 确诊病例

江苏昨日新增本土确诊3例,溯源结果指向何处?深度解析疫情散发下的精准防控

连日来,全国疫情态势牵动人心,每一个新增的本土病例都如同投入平静湖面的一颗石子,激起层层涟漪,据江苏省卫生健康委员会权威发布,在【请根据实际日期填写,2023年X月X日】的0-24时,江苏省报告新增本...

江苏疫情 精准防控

11日江苏新增病例/11日江苏新增病例多少

11日,江苏省新增新冠肺炎确诊病例的通报再次引发社会关注,作为中国经济活跃、人口密集的重要省份,江苏的疫情动态不仅牵动本地居民的心,也对全国疫情防控形势产生重要影响,本文将从新增病例的具体数据、分布区...

江苏新增病例 江苏疫情

31省份新增本土确诊13例江苏6例(31省份新增本土确诊30例江苏18例)

国内新冠疫情数据再次牵动人心,根据国家卫生健康委员会发布的最新通报,全国31个省(自治区、直辖市)和新疆生产建设兵团报告新增新冠肺炎本土确诊病例13例,在这份看似平缓的数据中,江苏省以新增6例本土确诊...

江苏疫情 本土病例

江苏新增本土确诊11例病例/江苏新增本土确诊11例病例详情

江苏省卫生健康委员会发布通报,该省新增11例本土新冠肺炎确诊病例,这组数字如同一颗投入平静湖面的石子,再次在社交网络和公众心中泛起涟漪,它提醒我们,尽管国内疫情防控已进入常态化阶段,但病毒的幽灵仍未远...

江苏疫情 本土确诊

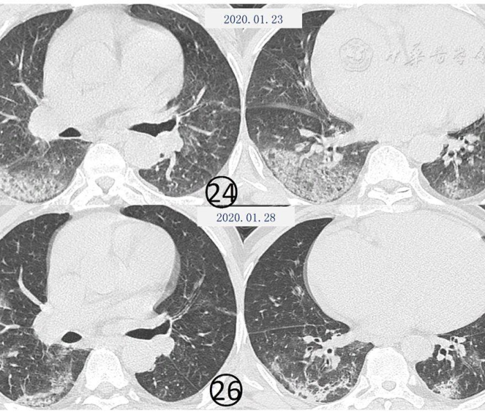
江苏23日新型肺炎/江苏23日新型肺炎最新消息

2020年1月23日,江苏省报告了首例新型冠状病毒肺炎(COVID-19)确诊病例,这一事件标志着该省正式进入疫情防控的紧急状态,作为中国经济和人口大省,江苏的疫情动态牵动着全国神经,本文将从疫情背景...

新型肺炎 江苏疫情

江苏艾滋病疫情/江苏艾滋病疫情最新消息

艾滋病作为一种全球性的公共卫生挑战,一直受到社会各界的广泛关注,江苏省作为经济发达、人口密集的东部沿海省份,其艾滋病疫情呈现出独特的特点和趋势,本文将从江苏艾滋病疫情的历史演变、当前现状、影响因素、防...

艾滋病疫情 江苏疫情

江苏新增本土确诊23例无症状19例是哪里的/江苏新增本土确诊23例无症状19例是哪里的疫情

江苏省的疫情动态再次牵动人心,根据官方通报,某一特定日期内,江苏省新增本土新冠肺炎确诊病例23例,并无症状感染者19例,这组数字一经发布,立刻引发了社会各界的广泛关注,人们最核心的疑问莫过于:这些新增...

江苏疫情 本土确诊
联系我们

联系我们

工作时间:周一至周五,9:00-17:30,节假日休息

关注微信
微信扫一扫关注我们

微信扫一扫关注我们